Karın Zarı Kanseri Tedavi Merkezleri

Diğer adı akciğer zarı kanseri olan mezotelyoma genellikle asbest adındaki kanserojen minerale maruz kalan kişilerde görülmektedir.
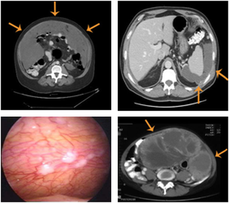
Karın zarı kanseri tedavi merkezleri. Kolorektal kaynaklı karın zarı kanserleri. Karın zarı kanseri tedavi süreçlerine ilişkin iki kitabı bulunan genel cerrah doç. Sıvı birikimi hastada iştahsızlık kilo kaybı yediklerini kusma gibi sorunlara yol açabilir. Yapılan temizliğin ardından direkt olarak direnlerle 43 dereceye kadar ısıtılmış kanseri yok edici kemoterapik ilaçlar karın içine verilir.
Karın içi kanserlerinin tedavisine başlamadan önce kanserin hangi organdan hangi sistemden kaynaklandığını bilmek gerekir. Karın zarı kanserleri karın zarından başlasın ya da başladığı organdan karın zarına ulaşsın cerrahiye eklenen sıcak kemoterapi hastalar için son 30 yıldır bir tedavi seçeneğidir ve gelişmiş ülkelerde modern tıbbın sunduğu bu hizmet cerrahi ile sıcak kemoterapinin birlikte uygulandığı kompleks işlemler ülkemizde. Ama hastalar genellikle geç evrede yakalanır. Kalp akciğerler ve karın bölgesindeki organları çevreleyen zardan kaynaklanan bir hastalıktır.
Karın zarı kanserinin nasıl oluştuğuna dair bilgi veren canbay karın zarı karın içindeki tüm organları kaplayan ince bir zardır. Bu organlar mide ince ve kalın bağırsaklar over yumurtalıklar apandisit gibi organlardan başlayan kanserler organın dış tabakasına ulaştığında karın zarı kanseri denilmektedir. Bu yöntemler hastaların yaşam kalitelerini yükseltirken aynı zamanda yaşam sürelerini uzatıyor ve bir grup hastada kür sağlıyor. Dünyada bir çok merkezde bununla ilgili koruyucu önlemler geliştirilmiştir.
Bu hastaların tedavisinde periton zarı tamamen soyulup çıkarılmaktadır. Cerrah ulaşılabilen tüm tümörleri cerrahi yolla veya koterizasyonla yok eder. Bu durumda kimyasal tedavi şarttır. Karın içi tümörlere sıcak kuşatma i̇leri evre karın içi kanserler olarak tanımladığımız peritona karın içi zarı yayılmış kanserlerin tedavisinde hi̇pek ve pi̇pak gibi karın içi kemoterapi yöntemlerine başvuruluyor.
Kötü huylu bir tümör olan mezotelyoma. Emel canbay yeni tedavi yöntemlerinin diğer yöntemlerinden farklarına da vurgu yaptı. Muhtemelen peritoneal kanseri tedavi etmenin en iyi yolu olabildiğince erken evrede tedavi etmek hatta mümkünse oluşmadan önlemektir. Karın zarı kanserinde en büyük problem kar ında su toplamasıdır.
Hastalığın yumurtalıkla sınırlı kaldığı erken evre yumurtalık kanserinin başarı ile tedavi edilme olasılığı yüksektir.